Study: Accumulation of Microplastics in Human Brain Tissue Rising Rapidly

Cristen Hemingway Jaynes / EcoWatch
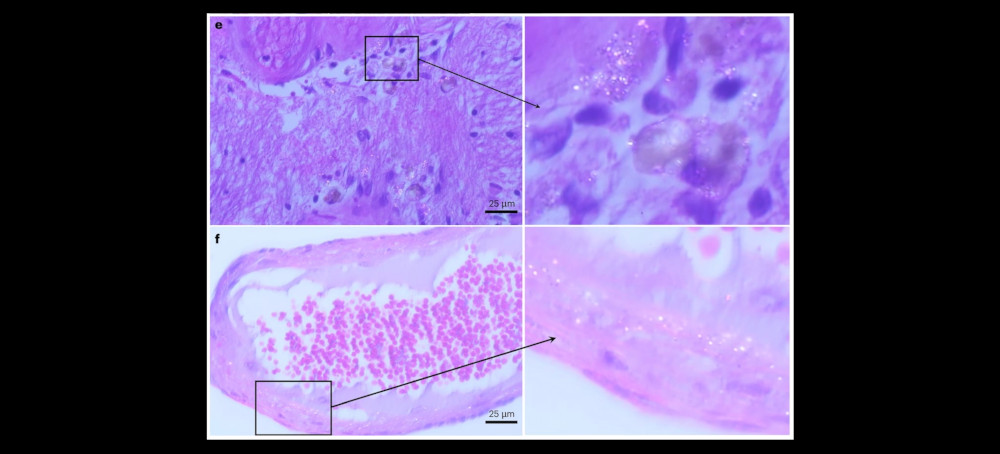
Study: Accumulation of Microplastics in Human Brain Tissue Rising Rapidly Visualization of microplastics in human brains reveals substantially more in dementia cases, especially in regions with associated immune cell accumulation (e) and along the vascular walls (f). (photo: Nature Medicine)

In a new study, health sciences researchers at the University of New Mexico (UNM) have found microplastics in human brain tissue in concentrations much higher than in other organs.

In addition, the accumulation of the plastics appeared to grow over time, increasing 50 percent in the last eight years.

The research team, led by Dr. Matthew Campen — a toxicologist and Distinguished and Regents’ Professor in the UNM College of Pharmacy — discovered that plastic concentrations appeared higher in the brain than in the kidney or liver, and higher than earlier reports for testes and placentas.

The accumulation rate of the plastics was found to mirror the growing plastic waste on the planet, Campen said in a press release from UNM.

“This really changes the landscape. It makes it so much more personal,” Campen said in the press release.

The research team found that many of the plastic pieces appeared to be smaller than previous observations — roughly two to three times bigger than viruses.

Microplastics are tiny pieces of degraded polymers, now ubiquitous in our water, air and soil. They have embedded themselves all over the human body over the course of the last 50 years.

Campen said the findings are cause for alarm.

“I never would have imagined it was this high. I certainly don’t feel comfortable with this much plastic in my brain, and I don’t need to wait around 30 more years to find out what happens if the concentrations quadruple,” he said.

To complicate matters, brain tissue from those diagnosed with dementia contained as much as 10 times the amount of plastic as everyone else, Campen said.

However, the study was not able to determine if the high plastic levels in the brain were the reason for the dementia symptoms. Campen said plastic particles might accumulate more because of the disease process itself.

In the study, the researchers compared brain tissue from 2016 and 2024. They detected and quantified a dozen different polymers, with polyethylene — widely used to make containers and packaging, including cups and bottles — being the most common.

The team discovered clusters of plastic shards of 200 nanometers or less — small enough to be able to cross the blood-brain barrier, though Campen said it wasn’t clear how they were transported into the brain.

Campen added that it was also not apparent what effects plastic — considered biologically inert and used for heart stents, artificial joints and other medical applications — could be having. He explained that the particles’ physical characteristics might be the problem, instead of some kind of chemical toxicity.

“We start thinking that maybe these plastics obstruct blood flow in capillaries,” Campen explained. “There’s the potential that these nanomaterials interfere with the connections between axons in the brain. They could also be a seed for aggregation of proteins involved in dementia. We just don’t know.”

Campen said he suspects most microplastics found in the human body get there through ingested food, especially meat.

“The way we irrigate fields with plastic-contaminated water, we postulate that the plastics build up there,” Campen said. “We feed those crops to our livestock. We take the manure and put it back on the field, so there may be a sort of feed-forward biomagnification.”

Campen added that the team had found high plastic concentrations in store-bought meat.

Global plastic production continues unabated, and since it can take existing polymers decades to break down into microscopic particles, the environmental concentrations of micro- and non-plastics will keep rising for years.

“It suggests that if we were to reduce environmental contamination with microplastics, the levels of human exposure would also decrease, offering a strong incentive to focus on innovations that reduce exposure,” said Tamara Galloway, an ecotoxicology professor at University of Exeter, who did not participate in the study, as The Guardian reported.

The study, “Bioaccumulation of microplastics in decedent human brains,” was published in the journal Nature Medicine.

“These results highlight a critical need to better understand the routes of exposure, uptake and clearance pathways and potential health consequences of plastics in human tissues, particularly in the brain,” the authors of the study wrote.

Campen said the findings should serve as a warning of a worldwide threat to human health. He said it can be difficult to motivate consumers, but that these results could finally get their attention.

“I have yet to encounter a single human being who says, ‘There’s a bunch of plastic in my brain and I’m totally cool with that,’” Campen said in the press release.

WE ARE CONSIDERING MOVING AWAY FROM DISQUS. If you want to express your opinions about the RSN commenting system, CLICK HERE.
Close

rsn / send to friend

form code